Dentiste Paris 16 - Dr Jean-Pierre BOURLON
Chirurgien-Dentiste à PARIS
Accueil
Le cabinet
Découvrir
L'équipe
Accès
Urgences
Fiches Conseils
Vidéos 3D
Omnipratique
Orthodontie
Soins, hygiène et pathologies
Traitement des gencives
Prothèses dentaires
Implants dentaires
Dentisterie esthétique
Orthodontie
English
CONTACT
5 rue Nicolo, 75116 PARIS
+33 9 67 11 32 60
+33 1 42 88 06 16
Dentiste Paris 16 - Dr Jean-Pierre BOURLON
Chirurgien-Dentiste à PARIS
Accueil
Le cabinet
Découvrir
L'équipe
Accès
Urgences
Fiches Conseils
Vidéos 3D
Omnipratique
Orthodontie
Soins, hygiène et pathologies
Traitement des gencives
Prothèses dentaires
Implants dentaires
Dentisterie esthétique
Orthodontie
English
CONTACT
Blog - Page 6
Facettes
EN SAVOIR PLUS
Blanchiment au fauteuil
EN SAVOIR PLUS
Impact du brossage agressif sur l’usure des dents
EN SAVOIR PLUS
Bruxisme et usure dentaire
EN SAVOIR PLUS
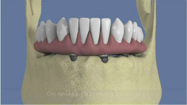
Mandibule complète et traitement implantaire pour un bridge fixe scellé
EN SAVOIR PLUS
Eclaircissement ambulatoire
EN SAVOIR PLUS
Affichage des articles 31-36 sur 225
‹
1
2
3
4
5
6
7
8
9
10
…
37
38
›
Catégories
À la une
(3)
Cas cliniques
(6)
Informations pratiques
(8)
L'équipement du cabinet dentaire
(4)
L'orthodontie
(30)
Les choix esthétiques
(11)
Les dents chez l'adulte
(7)
Les dents de l’enfance à l’adolescence
(14)
Les dents et la santé
(22)
Les gencives
(24)
Les implants
(28)
Les pathologies bucco-dentaires
(29)
Les prothèses
(35)
Omnipratique
(209)
Prendre soin des dents
(21)
Tag section - Actualités
(3)
Dentiste Paris 16 - Dr Jean-Pierre BOURLON
5 rue Nicolo
75116
PARIS
+33 1 42 88 06 16
Conditions Générales Utilisation
Mentions légales
Politique de confidentialité et charte cookie
Charte déontologique
Ordre national
Annuaires chirurgiens dentistes
Hygiène & Asepsie
Honoraire & remboursement
Lundi
9h - 20h
Mardi
9h - 20h
Mercredi
9h - 20h
Jeudi
9h - 20h
Vendredi
9h - 20h
Samedi
10h - 15h
Dimanche
Fermé
Création par
Connexion