Dentiste Paris 16 - Dr Jean-Pierre BOURLON
Chirurgien-Dentiste à PARIS
5 rue Nicolo, 75116 PARIS
+33 1 42 88 06 16
Dentiste Paris 16 - Dr Jean-Pierre BOURLON
Chirurgien-Dentiste à PARIS

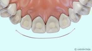
Fil de contention


video-play-icon

Articles similaires

Création par Webdentiste

Connexion