BRIDGE ET PROTHÈSE DENTAIRE PARIS 16
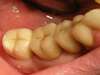
Cas n°1 :
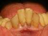
Cas N°2
cas n°3 :
Cas n°1 :
Cas N°2
cas n°3 :
5 rue Nicolo
75116
PARIS
| Lundi | 9h - 19h |
| Mardi | 9h - 19h |
| Mercredi | 9h - 19h |
| Jeudi | 9h - 19h |
| Vendredi | 9h - 19h |
| Samedi | Fermé |
| Dimanche | Fermé |
Vidéo en cours de lecture
